Adhésion
Espace membre
La SIMS
Qui sommes-nous ?
Historique
Conseil d'administration
Elections
Adhésion
Contact
Actualités
Hommages
Annonces
Evènements
Congrès annuel
Forum recherche
FMC d'échographie
Ateliers
Interventionnel
Journées actus en écho
Congrès internationaux
JFR
Autres congrès
Publications
Gel Contact
Journal of the French Musculoskeletal Imaging Society
Livre Annuel
FMC - cours
Bone Club
SIMS Infos
120 coupes
Vidéos
Comment je fais ?
Enseignement JL Brasseur
Mercredis de la SIMS
Congrès Annuel
Ateliers
Interventionnel
Burn-out du radiologue
Partenariats
PARTENAIRES
ASSOCIATION TECUM
Opportunités de partenariats
Enseignements
Close
La Sims
Qui sommes-nous?
Historique
Conseil d'administration
Adhésion
Contact
Actualités
Hommages
Annonces
Evènements
CONGRÈS ANNUEL
Forum recherche
FMC D'ÉCHOGRAPHIE
ATELIERS
INTERVENTIONNEL
Congrès internationaux
JFR
Autres congrès
Publications
Gel Contact
Journal of the French Musculoskeletal Imaging Society
Livre Annuel
FMC - cours
Bone Club
SIMS Infos
120 coupes
Vidéos
Comment je fais ?
Enseignement JL Brasseur
Mercredis de la SIMS
Congrès annuel
Congrès thématique
Ateliers
Interventionnel
Burn-out du radiologue
Partenariats
PARTENAIRES
ASSOCIATION TECUM
Opportunités de partenariats
Enseignements
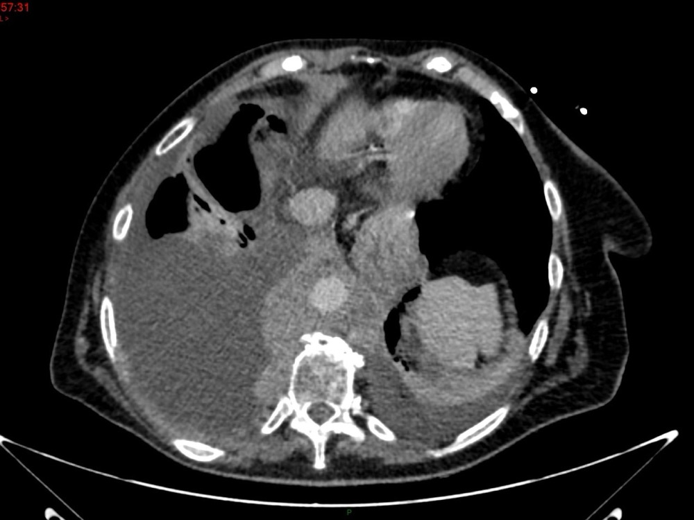
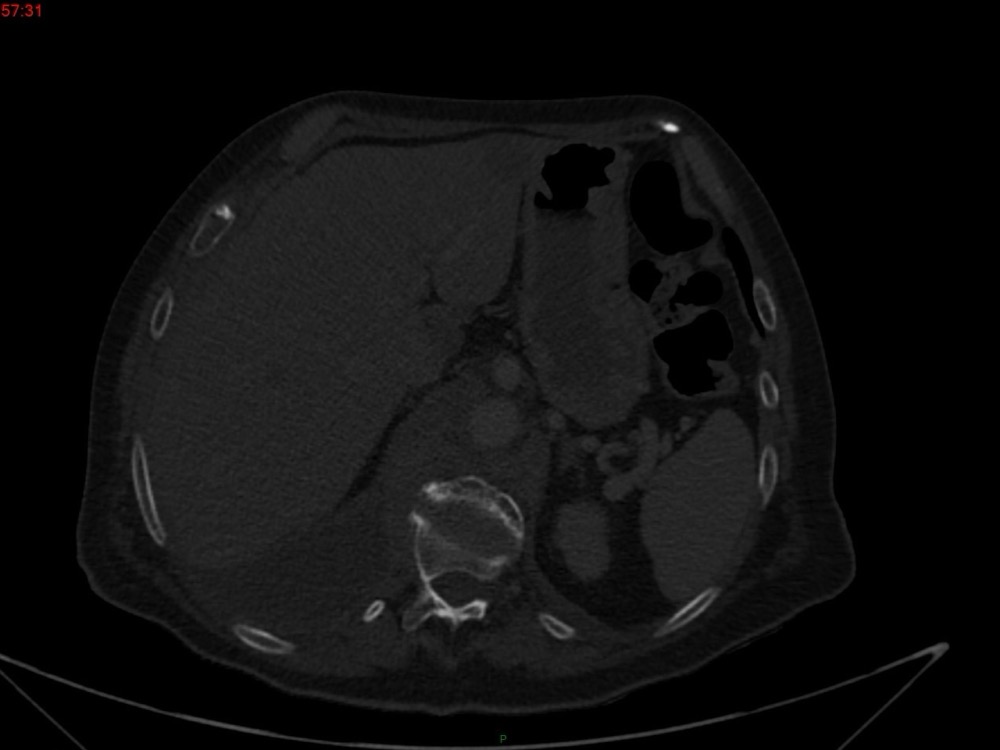
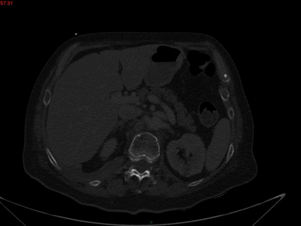
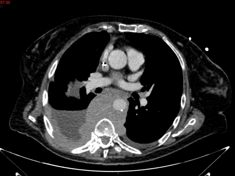
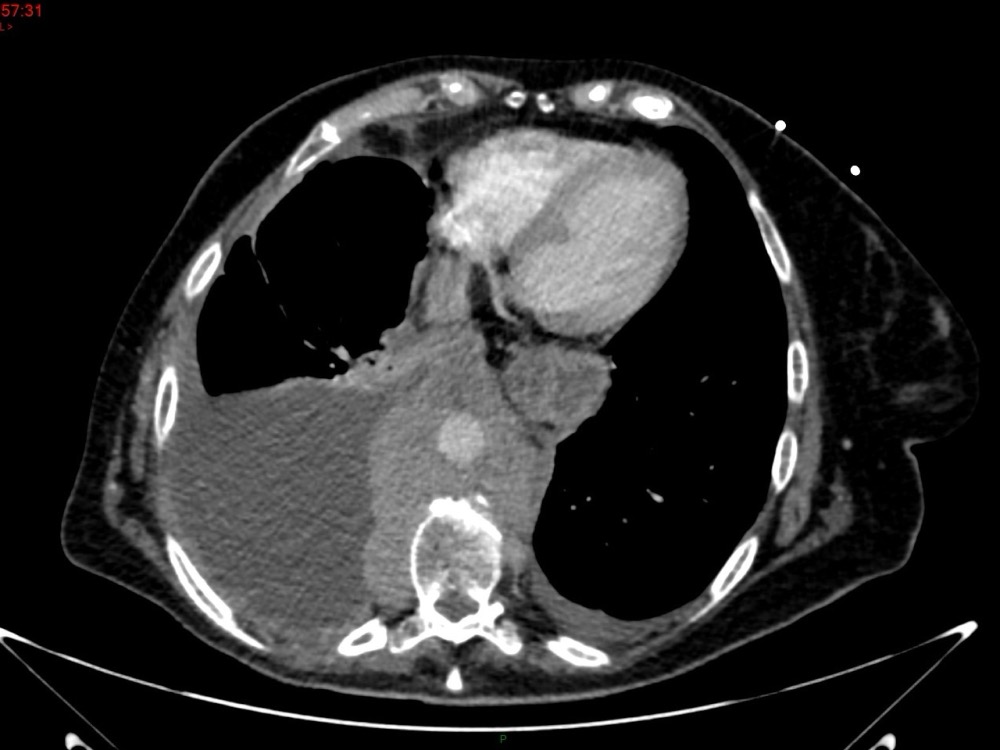
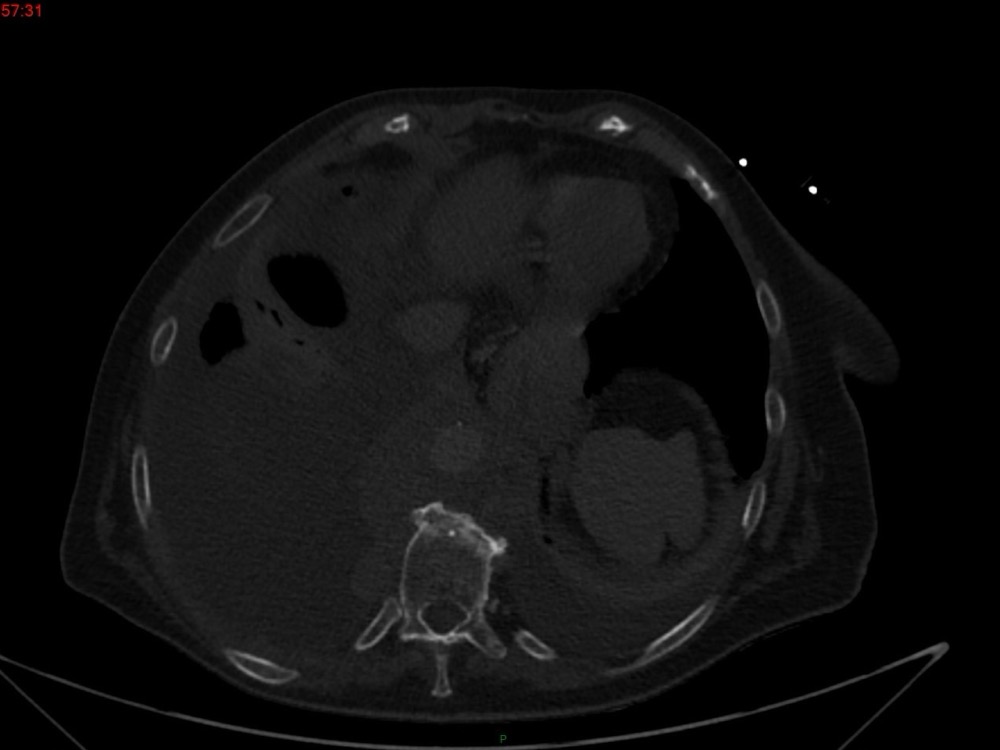
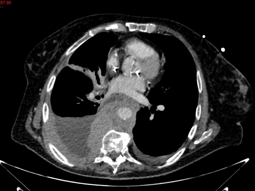
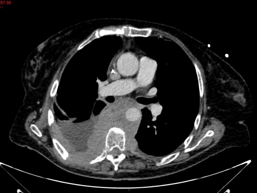
Bone Club
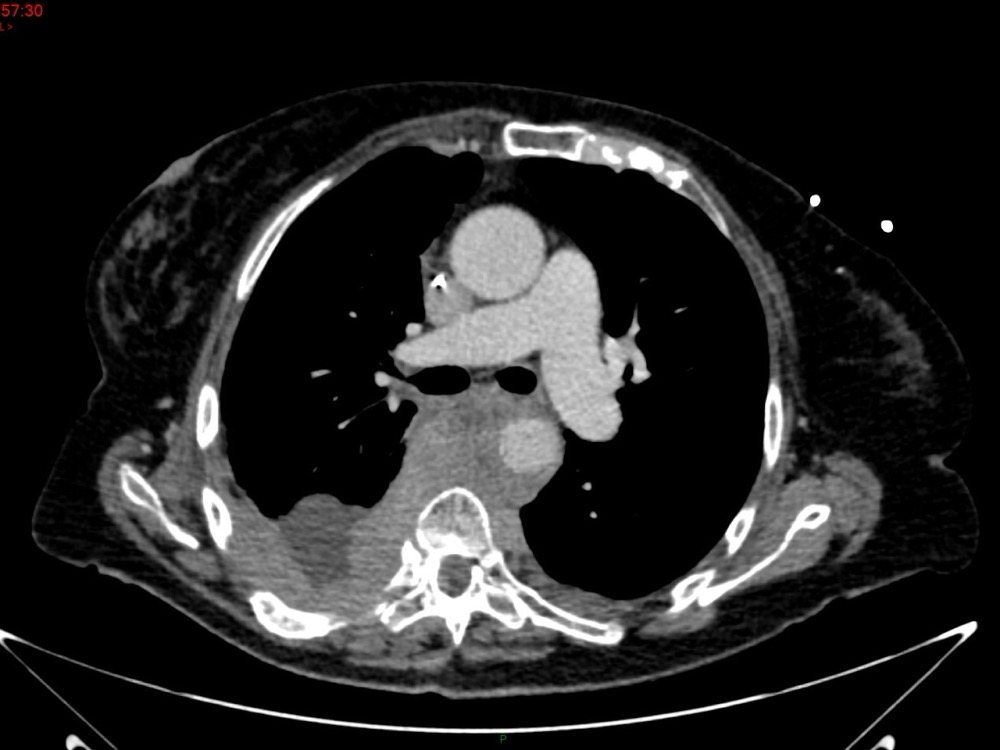
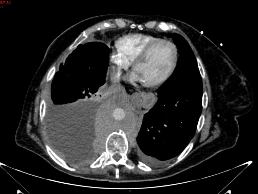
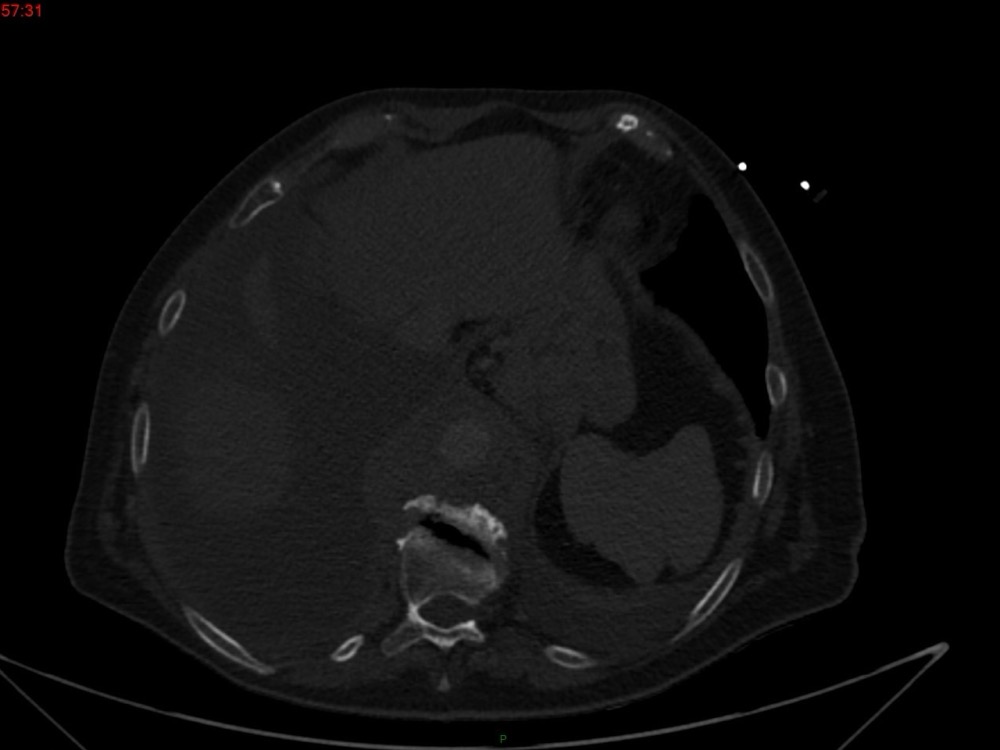
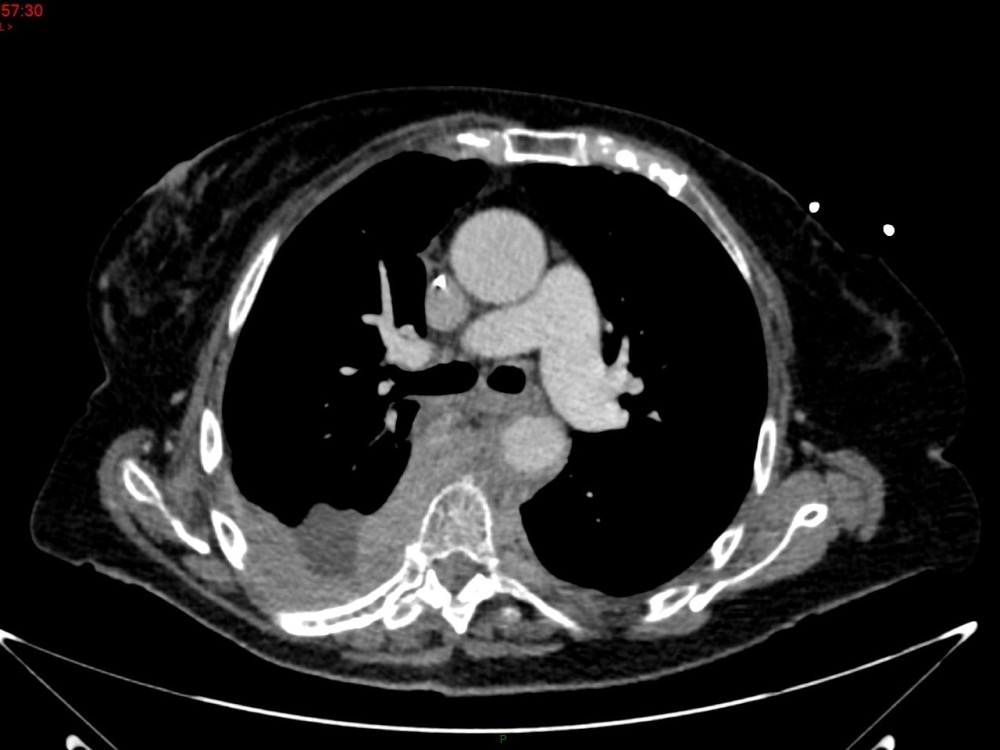
Marie Pauline Talabard 11/01/2023
Page précédente
Page suivante
Contenu